10 تا از بهترین دکتر لثه در اهواز❤️【سال1405】⚡️

لثه قسمتی از دهان است که در اطراف دندانها قرار دارد. لثهها به شکل یک پوشش نرم و صاف بر روی استخوانهای فک قرار دارند و وظیفه حفاظت از دندانها و استخوانهای فک را دارند. لثهها باعث محافظت از ریشههای دندان و جلوگیری از ورود میکروبها به داخل گوشت های نرم دهان میشوند. در این مقاله بهترین دکتر لثه در اهواز را برای شما عزیزان معرفی می کنیم تا در صورت نیاز بتوانید به آن ها مراجعه کرده و از خدمات مورد نیاز خود بهره مند شوید. همچنین اطلاعات مفیدی را راجع به درمان لثه و مشخصات بهترین دکتر لثه در اختیارتان قرار می دهیم.
درمان لثه توسط بهترین دکتر لثه در اهواز
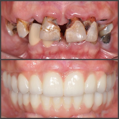
بیماری و مشکلت لثه از جمله مشکلات شایع دهان می باشند که ممکن است به دلیل جمع شدن باکتری ها در دهان به وجود بیایند. در صورتی که تجمع این مواد به صورت طولانی مدت در دهان ادامه داشته باشد، در نهایت باعث ایجاد آسیب به لثه می شود. علاوه بر این مشکلاتی مانند مصرف سیگار، تغذیه ناسالم و موارد دیگری نیز ممکن است سبب ایجاد آسیب به دندان ها شود. لازم است با مشاهده هرگونه از این علائم به بهترین دکتر لثه مراجعه کنید. دندانپزشک در این زمینه با بررسی عوامل ایجاد مشکلات لثه و بررسی کامل دهان و دندان فرد، بیماری لثه را تشخیص داده و بهترین راه را برای درمان انتخاب می کند.
در برخی موارد، لثه ممکن است مشکلاتی را نشان دهد. مانند التهاب لثه که به طور عمده با علائمی نظیر خونریزی، تورم، قرمزی و حساسیت همراه است. این مشکل ممکن است به وجود آمدن بیماریهای لثه مانند ترکیدگی لثه و ریزش دندانها منجر شود. پیشگیری از مشکلات لثه از اهمیت بالایی برخوردار است. رعایت بهداشت دهان، استفاده از مسواک و نخ دندان به صورت مرتب، به جلوگیری از بروز بیماریهای لثه کمک می کند.
مراجعه منظم به مطب دندانپزشکی می تواند سلامت لثه را تضمین کند. در صورتی که مشکلات لثه را تجربه میکنید، مهم است که به دندانپزشک مراجعه کنید. او میتواند تشخیص دقیقی برای مشکلات لثه شما بدهد و برنامه درمان مناسبی را تعیین کند تا سلامت لثهها را برقرار سازد.
مطلب پیشنهادی: بهترین دکتر دندانپزشک در اهواز

مشخصات بهترین دکتر لثه چیست؟
- تخصص: برترین دکتر لثه باید دارای تخصص و تجربه کافی در زمینه بیماریها و درمانهای لثه باشد. آن ها باید مسائل مربوط به لثه را به خوبی بشناسند و بروز با دانش و تکنیکهای جدید در این حوزه باشند.
- آموزش: بهترین دکتر لثه متعهد به آموزش مداوم است. آن ها باید در مورد تحقیقات و پیشرفتهای جدید در زمینه بیماریها و درمانهای لثه بروز باشند و از این دانش برای بهبود درمان بیمارانشان استفاده کنند.
- شنوایی فعال: یک دکتر لثه برتر باید به شما توجه کند و به دقت به مشکلات و نیازهای شما گوش دهد. آن ها باید بتوانند با شنیدن سوالات و نگرانیهای شما، تشخیص درستی برای مشکل لثهتان بگذارند.
- ارتباط مؤثر: ارتباط نزدیک و مؤثر با بیماران برای دکتر لثه برتر بسیار مهم است. آن ها باید بتوانند به شما توضیح دهند که چه اتفاقی در دهانتان میافتد، به شما انتخابهای درمانی را توضیح دهند و به سوالات شما پاسخ دهند.
- تفسیر و شرح: یک دکتر لثه برتر باید بتواند نتایج آزمایشها و تصاویر درمانی را به شما توضیح دهد و درک برداری برای شما فراهم کند. آن ها باید به شما نشان دهند که چگونه درمانشان تأثیر داشته است و به شما اطمینان دهند که اعتماد به درمان آنها موجب بهبودی شما خواهد شد.
- تمرکز بر پیگیری: بیماریهای لثه ممکن است نیازمند درمان طولانیمدت باشند. دکتر لثه برتر باید تمرکز قوی در پیگیری درمان داشته باشد و در فرآیند بازخورد و تغییرات لازم را اعمال کند تا درمان بهبودی مطلوب را برای شما فراهم کند. اگر شما همراهان عزیز با مشکلات و بیماری های لثه مواجه هستید، می توانید برای درمان به بهترین دکتر لثه در ایران مراجعه نمایید.
10تا از بهترین دکتر لثه در اهواز را بشناسید!
دکتر نوید درستان
جناب آقای دکتر نوید درستان فارغالتحصیل رشته جراحی لثه و ایمپلنت از دانشگاه جندیشاپور اهواز در سال ۱۳۹۳ و دارای بورد تخصصی رشته پریودانتیکس، عضو هیئتعلمی و از اساتید این دانشگاه میباشند.
ایشان مدرس دورههای پیشرفته ایمپلنت و بازسازیهای بافت نرم و سخت و جراحی لثه در کل کشور هستند.
دکتر پروین صالحی
دکتر پروین صالحی متخصص جراحی لثه و ایمپلنت است که جز بهترین دکتر لثه در اهواز میباشد. ایشان دارای بورد تخصصی هستند که با رتبه برتر دریافت نموده است. دکتر صالحی همچنین عضو هیئتعلمی دانشگاه میباشد. وی در حال حاضر در مطب شخصی خود مشغول فعالیت میباشد و با بانکها و بیمهها طرف قرارداد است.
دکتر لیلا گل پسند حق
دکتر لیلا گلپسند حق متخصص جراحی و بیماریهای لثه در شهر اهواز میباشد. وی با برخورداری از تجربه و دانش بالای خود عضو هیئتعلمی دانشکده دندانپزشکی اهواز نیز هستند.
دکتر مریم خادمی
مریم خادمی متخصص و جراح بیماری های لثه و ایمپلنت می باشد. وی عضو هیات علمی دانشگاه هستند. دکتر مریم خادمی بورد تخصصی خود را با رتبه برتر کسب نموده است. ایشان به عنوان بهترین دکتر لثه در اهواز شناخته می شود و سابقه زیادی در حیطه فعالیت خود دارد.
دکتر اردشیر رنجبری
دکتر اردشیر رنجبری متخصص جراحی و بیماریهای لثه و ایمپلنت است که در لیست بهترین دکتر لثه در اهواز قرار دارد. ایشان دارای فلوشیپ لیزر، جراحی لثه از آلمان نیز میباشد. دکتر رنجبری در این حیطه چند سال سابقه کار دارد و خدمات خود را با بهترین کیفیت ارائه میدهد.
دکتر حجت اله یوسفی منش
دکتر حجت اله یوسفی منش متخصص جراحی لثه و ایمپلنت در شهر اهواز میباشد. ایشان دارای بورد تخصصی و عضو هیئتعلمی دانشگاه جندیشاپور اهواز است.
دکتر عرفان صفی خانی
دکتر عرفان صفیخانی جراح و دندانپزشک و بهترین دکتر لثه در اهواز میباشد. وی عضو هیئتعلمی دانشگاه است. دکتر عرفان صفیخانی در مطب خود با استفاده از تجهیزات مدرن و پیشرفته و بهترین مواد با شماره نظامپزشکی 98696 آماده خدمترسانی به مردم اهواز میباشد.
دکتر منصور جعفرزاده
دکتر منصور جعفرزاده بهترین دندانپزشک درمان ریشه در اهواز نیز محسوب میشود. وی در مطب شخصی خود با بهکارگیری از تجهیزات پیشرفته و مدرن و با استفاده از مواد باکیفیت مشغول ارائه خدمات میباشد. ایشان با بیماران خود بسیار خوب رفتار میکند و افراد زیادی نزد ایشان برای درمان ریشه دندان مراجعه میکنند.
چه عواملی موجب آسیب به لثه می شود؟
- بیماری لثه: عامل اصلی آسیب به لثه، بیماری لثه است که به خاطر تجمع پلاک و ترکیبات بیوشیمیایی در اطراف دندانها رخ میدهد. اگر پلاک به درستی از دندانها پاک نشود، باعث تحریک و التهاب لثه میشود و زمان بازی راهی برای بیماریهای جدی تر مانند التهاب لثه را بهوجود میآورد.
- برس غیرمناسب: استفاده از برس غیر مناسب و اشتباه در تمیز کردن دندانها میتواند لثه را آسیب برساند. استفاده از برس با سرهای سخت، فشار زیاد و تمیز کردن غیرقابل تحمل میتواند لثه را آسیب برساند و باعث خونریزی یا التهاب آن شود.
- استفاده نادرست از نخ دندان: استفاده نادرست از نخ دندان میتواند به لثه آسیب برساند. مثلاً استفاده نکردن از نخ دندان و یا استفاده از آن با روش نادرست و خشن میتواند لثه را آسیب دهد و منجر به خونریزی و التهاب شود.
- خراشیدگی: صفحه بالایی دندانها، طاقچهها یا لوازم دهانی سخت میتوانند به لثه خراش و صدمه وارد کنند. این خراشها میتوانند التهاب لثه را تحریک کنند و در صورت عدم درمان مناسب، ممکن است تبدیل به آسیب دائمی شوند.
- سیگار و استعمال تنباکو: استعمال سیگار و تنباکو میتواند به لثه آسیب برساند. مواد شیمیایی موجود در دخانیات باعث ایجاد التهاب در لثه میشوند، عملکرد سیستم ایمنی را تحتتأثیر قرار میدهند و باعث کاهش نجات پذیری لثه در برابر عفونت میشوند.
- فشار دندانها: عادتهایی مانند فشردنهای ناخواسته میتواند به لثه آسیب رساند. فشار زائد بر روی لثه منجر به عمقیابی به لثه و بروز آسیبهای متنوعی از جمله التهاب لثه میگردد.

توصیه های مراقبتی بهترین دکتر لثه در اهواز
- تشخیص بیماریهای لثه: یک دکتر لثه باید توانایی تشخیص دقیق بیماریهای لثه را داشته باشد. او باید بتواند نشانههای مشکوک را شناسایی کند و با استفاده از ابزارها و فنون مناسب، بیماریهای لثه را تشخیص دهد.
- بررسی و تقویت بهداشت دهانی: دکتر لثه باید بتواند بهداشت دهانی بیماران را بررسی کند و برای بهبود آن توصیههای لازم را ارائه دهد. این شامل تمیز کردن صحیح دندانها، استفاده از برس و نخ دندان مناسب، و رعایت عادات سالم در مراقبت از دهان میشود.
- پیشگیری از بیماری: بهترین دکتر لثه باید بتواند به بیماران خود درباره روشهای پیشگیری از بیماریهای لثه آموزش دهد. این شامل تغذیه مناسب، مصرف مناسب سیگار و الکل، و رعایت بهداشت دهانی روزانه است.
- درمان بیماریهای لثه: در صورت بروز بیماریهای لثه، دکتر لثه باید بتواند روشهای درمانی مؤثر را ارائه دهد. این شامل تمیزکردن دندان پروفسیونال توسط دکتر، جراحیهای لثه، درمان دارویی و سایر روشهای تسکینی است.
- مراقبت بعد از درمان: دکتر لثه باید بتواند بعد از درمان، به بیماران توصیههای لازم در مورد مراقبت بعد از درمان را ارائه کند. این شامل دستورالعملهای مراقبتی، مصرف داروها و نکات خاص برای جلوگیری از تکرار بیماری است.
- پیگیری و توصیههای دورهای: بهترین دکتر لثه باید بتواند پس از درمان، از بیماران خود پیگیری کند و توصیههای دورهای را ارائه دهد. این شامل برنامههای تمیز کردن و مراقبت دورهای به همراه بازرسیهای منظم لثه است.
کلام آخر
بافت لثه بخشی از سیستم تنظیمی دهان است که اطراف دندانها قرار دارد. لثه ها غشایی نرم هستند که از دندانها و دهان محافظت میکنند و عملکردهای مهمی دارند که به حفظ سلامت دهان کمک میکنند. عدم مراقبت از دهان و دندان و انجام برخی موارد از جمله مصرف سیگار، استفاده نادرست از نخ دندان و … سبب ایجاد آسیب به لثه می شود. از این رو لازم است با مشاهده هرگونه مشکل و بیماری لثه سریعاً دندانپزشک متخصص در این زمینه مراجعه کنید.
به همین منظور سعی کردیم در این مقاله بهترین دکتر لثه در اهواز را برای شما عزیزان معرفی نماییم تا در صورت نیاز بتوانید به آن ها مراجعه کرده و از خدمات مورد نیاز بهره مند شوید. سپاس گزاریم که تا انتها همراه ما بودید و این مقاله را مطالعه کردید. در صورت نیاز می توانید سؤالات خود را از طریق کامنت سایت دندانپزشکا با ما درمیان بگذارید.







