بهترین دکتر ایمپلنت در قم ❤️【سال1404】+ لیست 10تایی

ما می خواهیم که در این مقاله به معرفی بهترین دکتر ایمپلنت در قم بپردازیم و نیز اطلاعات جامعی در مورد ایمپلنت دندان در اختیار شما قرار دهیم. ایمپلنت دندان یکی از فناوری های بسیار عالی در زمینه دندانپزشکی می باشد چرا که، جایگزین دندان های بسیار آسیب دیده و یا از بین رفته می شود و می تواند عملکرد و ظاهر دندان را بهبود بخشد. ایمپلنت ها عموماً از جنس تیتانیوم ساخته شده و به فک و لثه متصل می شوند. پیشنهاد می کنیم تا انتها با ما همراه باشید تا اطلاعات بیشتر و مفیدی در مورد ایمپلنت دندان و بهترین دکتر ایمپلنت در قم به دست بیاورید.
ایمپلنت چیست؟
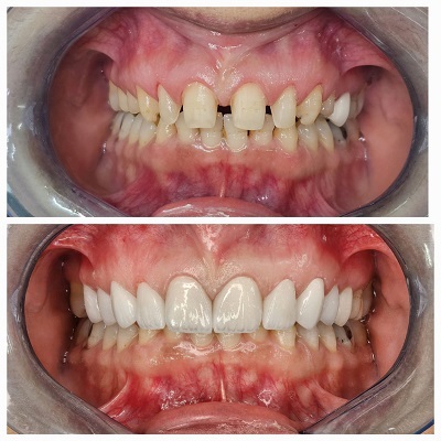
اگر که قصد انجام ایمپلنت توسط بهترین دکتر ایمپلنت در قم را دارید، ابتدا باید بدانید که ایمپلنت چیست. ایمپلنت یک روش درمانی است که در آن یک قطعه فلزی که معمولاً از جنس تیتانیوم ساخته شده در استخوان فک جای گذاری می شود. این قطعه فلزی به عنوان ریشه مصنوعی برای دندان مصنوعی یا پروتز استفاده می شود. به طور کلی، ایمپلنت ها به عنوان یک جایگزین پایدار و دائمی برای دندان های طبیعی عمل می کنند.
ایمپلنت ها به طور گسترده ای استفاده می شوند زیرا قادرند یک جایگزین مناسب برای دندان های آسیب دیده باشند. دندانی که با استفاده از ایمپلنت ساخته شده، بسیار محکم و مقاوم است و به همین خاطر فرد می تواند به راحتی به کار های روزمره خود ادامه داده، غذا های سفت و سخت بخورد و نیز به راحتی صحبت کند.
استفاده از ایمپلنت، نیاز به مراقبت و نگهداری منظم دارد. تمیزی و حفظ بهداشت دندان های ایمپلنتی بسیار مهم است تا ایمپلنت به درستی عمل کند و طول عمر بیشتری داشته باشد. همچنین، برای حفظ سلامت استخوان و بافت اطراف ایمپلنت، نیاز است نواحی ایمپلنت شده را به صورت منظم مراقبت و بررسی کنید.
پس از جایگذاری ایمپلنت، زمان لازم است تا استخوان به دور آن بپیوندد و فرایند ترمیمی کامل شود؛ سپس پروتز دندانی بر روی ایمپلنت نصب می شود که کاملاً مشابه دندان طبیعی است. برای انجام ایمپلنت می توانید به بهترین دکتر ایمپلنت در قم مراجعه کنید.
بهترین دکتر ایمپلنت در قم چه ویژگی هایی دارد؟
بهترین دکتر ایمپلنت در قم دارای ویژگی های خاصی هست که بهتر است با این ویژگی ها آشنا باشید تا بتوانید پزشک برتر در این زمینه را انتخاب کنید.
- تخصص و تجربه: بهترین دکتر ایمپلنت در قم باید تخصص و تجربه کافی در زمینه ایمپلنت داشته باشد. او باید دارای مدارک و دوره های آموزشی مرتبط با ایمپلنت باشد و نیز توانایی انجام روش های پیچیده تر را داشته باشد.
- تجهیزات و فناوری مدرن: بهترین دندانپزشک ایمپلنت باید از تجهیزات مدرن و فناوری بروز استفاده کند. این شامل دستگاه ها، ابزار ها و مواد استفاده شده در فرآیند ایمپلنت می باشد.
- ارائه مشاوره کامل: بهترین دکتر ایمپلنت در قم باید قبل از انجام هر گونه درمان، یک مشاوره کامل به بیماران خود ارائه کند و نیز باید بتواند به طور دقیق، نیاز ها و خواسته های بیماران را ارزیابی و برنامه درمانی مناسبی برای آنها ارائه دهد.
- همراهی و پشتیبانی: بهترین دکتر ایمپلنت در قم باید پس از انجام درمان به بیماران همراهی و پشتیبانی کافی را ارائه کند. او باید از روند بهبودی بیمار مطلع باشد و در صورت نیاز تغییرات لازم را در ایمپلنت، اعمال کند.
- قیمت مناسب: بهترین دکتر ایمپلنت در قم باید قیمتی منصفانه و مناسب برای خدمات ارائه شده، ارائه دهد. بالا بودن یا پایین بودن بیش از حد قیمت، ممکن است بیانگر کیفیت نا مناسب باشد. بهتر است قبل از انجام درمان، قیمت ها را با دندانپزشکان مختلف مقایسه کنید.
اگر که قصد انجام ایمپلنت دارید اما درگیر مشکلات لثه ای هستید بهتر است که قبل از انجام مراجعه به بهترین دکتر ایمپلنت در قم مشکل لثه خود را توسط بهترین دکتر لثه در قم درمان کنید و سپس کار ایمپلنت خود را شروع کنید.
| نام دندانپزشک | آدرس | شماره تماس |
|---|---|---|
| دکتر داود ساجدی | فلکه صدوقی ،بلوار صدوقی | 09912072495 |
| دکتر سعید علیزاده | میدان جانبازان(فلکه صفاییه) | 09911007261 |
| دکتر حامد رحیمی | دورشهر (شهید فاطمی) | 02537832389 |
| دکتر سید محمود نعیمیان | روبروی سینما تربیت پاساژ صبا | 09913531390 |
| دکتر پویا اصلانی | صفاییه، کوچه 37 | 02537847821 |
| دکتر محمدرضا نصیری جهرودی | خیابان 45 متری صدوق | 02532909105 |
| دکتر ندا خیرخواه دباغ | دانشکده دندانپزشکی علوم پزشکی قم | 09106776720 |
| دکتر علی رفیع درگاهی | خیابان صفاییه، کوچه 38 | 02537745758 |
| دکتر حامد صفری | بلوار نیایش، پ 113 | 02537746809 |
| مهدی سلطانی | بلوار عطاران، بین کوچه 2 و 4 | 02532911350 |
| محمدباقر محقق | دور شهر، کوچه 10 | 02537840190 |
اگر به دنبال بهترین دندانپزشکان در حوزه های مختلف دندانپزشکی در قم هستید، روی لینک های زیر کلیک کنید.
دکتر داود ساجدی
دکتر داود ساجدی یکی از برترین پزشکان مسلط ب درمان تخصصی ایمپلنت در قم هستند ک بیماران از بی درد بودن جراحی ها ابراز رضایت میکنند.
بالاترین میزان رضایتمندی بیماران را در زمینه کیفیت ایمپلنت و دیگر درمان های تخصصی را دارا هستند ب همین دلیل رتبه اول به ایشان اختصاص داده میشود .
با مراجعه ب پیج اینستاگرام ایشان میتوانید از مشاوره رایگان درباره ایمپلنت خود بهره مند شوید
به کمک تجهیزات مدرن و دیجیتال ایشان یکی از مسلط ترین پزشکانی میباشد ک بیماران چه در زمان ایمپلنت و بعد از آن درد و ناراحتی احساس نمیکنند
یکی از موارد شاخص در مطب ایشان اتاق استریل مجزا جهت استریل و ضدعفونی دقیق ابزار با دستگاه tecnogaz ایتالیایی میباشد ک استریل بودن یکی از ارکان اصلی جراحی موفق و باکیفیت است .
تسلط فراوان به سایر امور تخصصی در حیطه دندان پزشکی باعث شده بیماران ساکن خارج کشور که برای درمان دندانپزشکی در مطب ایشان حاضر میشوند ب راحتی همه درمان های دندان پزشکی را در بازه زمانی کوتاه ب صورت کامل انجام دهند و به کشور خود باز گردند .
مجهز بودن به اسکنر دیجیتال megagen ک باعث شده روکش های ایمپلنت دندانی بالاترین دقت و کیفیت را برخوردار باشد و در سریع ترین زمان ممکن تحویل بیمار شود.
اضافه شدن مدرک های جدید تخصصی به افتخارات ایشان حاکی از این است ک سعی میکنند همیشه کیفیت درمان ها را در بهترین سطح و در بالاترین حد ممکن نگه دارند
سوابق و مدارک :
- دوره تخصصی دیجیتال ایمپلنت
- دوره تخصصی ایمپلنت های پیشرفته GUIDED BONE REGENARATION دوره تخصصی عصب کشی های پیشرفته ROOT CANAL TREATMENT
- مدرک تخصصی زیبایی دندان ها شامل veneer composite و بازسازی لبخند SMILE DESIGN
- مدرک تخصصی زیبایی های macrostatic جهت هماهنگی با دندان ها
- ارائه فاکتور به همراه عکس بعد از کار برای بیمه های تکمیلی ( به صورت مستقیم با بیمه تکمیلی قرار داد ندارند)
ساعت کاری:
شنبه ساعت 15 الی 20
یک شنبه دوشنبه سه شنبه 10 الی 18
پنج شنبه 10 الی 16
دکتر سعید علیزاده
جز مجهزترین و به روز ترین مطب در استان قم با به کار گیری جدیدترین متدها و ابزارهای روز
استفاده از تجهیزات تمام دیجیتال و اسکنر
با سابقه بیش از ۵۰۰۰ هزار ایمپلنت موفق و هزار مراجعه کننده ی کامپوزیت و زیبایی
استفاده از بی حسی دیجیتال
اسکنر دیجیتال
ایمپلنت دیجیتال و یکروزه
پیشرفته ترین تجهیزات روز دنیا
انجام کلیه خدمات جراحی ایمپلنت و زیبایی
عصب کشی
پروتز( روکش)
ترمیم
دکتر حامد رحیمی
دکتر حامد رحیمی متولد سال ۱۳۶۷ می باشند.ایشان در سال ۱۳۸۵ موفق به ورود به رشته دندانپزشکی دانشگاه علوم پزشکی تهران شدند و در سال ۱۳۹۱ فارغ التحصیل گردیدند.در سال ۱۳۹۴ پس از گذراندن طرح دوره دکتری عمومی در استان قم موفق به قبولی در رشته جراحی لثه و ایمپلنت دانشکاه علوم پزشکی تهران گردیدند.ایشان از سال ۱۳۹۷ و پس از کسب بورد تخصصی به عنوان عضو هیات علمی دانشگاه علوم پزشکی قم مشغول هستند.
دکتر سید محمود نعیمیان
دکتر سیدمحمود نعیمیان با ۱۹ سال سابقه کاری و شماره نظام پزشکی ۱۰۵۲۴۹ با استفاده از روشها و رادیوگرافی دیجیتال و ثبت قالب با اسکنر به جای روشها و مواد سنتی به منظور حداکثر دقت و کیفیت کاری و کاهش زمان انتظار درمان آماده ارایه خدمات متنوع به همشهریان عزیز و محترم میباشد.
دارای مدرک ایمپلنت دیجیتال
دارای مدرک جراحیهای پیشرفته ایمپلنت
انجام صفر تا صد ایمپلنت دیجیتال
به زندگی لبخند بزن
سابقه کاری بالا و استفاده از تجهیزات مدرن و به روز و مواد با بالاترین کیفیت و برخورد محترمانه و عالی از شاخص های ویژه ایشان میباشد.
دکتر محمدرضا نصیری جهرودی
دکتر محمدرضا نصیری جهرودی جراح و دندانپزشک هستند و انواع خدمات ترمیمی و زیبایی مانند ایمپلنت را به مراجعین و بیماران خود ارائه می دهند. ایشان جزو بهترین دکتر ایمپلنت در قم و دارای شماره نظام پزشکی 119184 هستند؛ این دنداپزشک باتجربه، بیش از 16 سال سابقه کاری دارد و 10 سال هم سابقه مدیریت درمانگاه های دندانپزشکی در شهر قم را دارا هستند. درصد بالایی از مراجعان، از ایشان و خدماتی که ارائه می دهند راضی هستند.
دکتر ندا خیرخواه دباغ
دکتر ندا خیرخواه دباغ متخصص دندانپزشکی ترمیمی و زیبایی هستند و انواع ایمپلنت دندان را با بهترین کیفیت و متریال به مراجعین خود ارائه میدهند. دقت بالا در کنار مهارت عالی باعث شده که ایشان در بین بهترین دکتر ایمپلنت در قم قرار بگیرند. دکتر ندا خیرخواه دباغ با شماره نظام پزشکی 162569 مشغول به فعالیت هستند. ایشان دارای بورد تخصص از دانشگاه علوم پزشکی شهید بهشتی می باشند و چندین کتاب در زمینه دندانپزشکی تالیف و نشر کرده اند.
دکتر علی رفیع درگاهی
دکتر علی رفیع درگاهی متخصص جراحی لثه می باشند انواع خدمات ایمپلنت و جایگذاری دندان از دست رفته را به بهترین نحو و با استفاده از متریال با کیفیت برای بیماران خود انجام می دهند. ایشان جزو بهترین دکتر ایمپلنت در قم که دارای شماره نظام پزشکی 68416 می باشند؛ گفتنی است که درصد بالایی از مراجعین از کار ایمپلنت و نیز دیگر خدمات دندانپزشکی ایشان رضایت دارند.
دکتر حامد صفری
دکتر حامد صفری از جمله بهترین دکتر ایمپلنت در قم هستند و دارای 14 سال سابقه کاری می باشند و با شماره نظام پزشکی 125432 مشغول به فعالیت هستند. یکی از عواملی که باعث شده ما دکتر حامد صفری را در بین پزشکان برتر در زمینه ایمپلنت قرار دهیم، برخورد عالی او با مراجعین و نیز استفاده از تجهیزات و فناوری های به روز می باشد.
مهدی سلطانی
دکتر مهدی سلطانی یکی از بهترین دکتر ایمپلنت در قم هستند. تخصص ایشان در زمینه پروتز های دندانی، ایمپلنت و زیبایی است و شما برای اصلاح طرح لبخند به وسیله ایمپلنت می توانید به این پزشک حاذق و کار بلد مراجعه کنید و مطمئن باشید که از کار ایشان رضایت خواهید داشت. دکتر مهدی سلطانی فعالیت دندانپزشکی خود را با شماره نظام پزشکی 176368 شروع کرده اند.
محمدباقر محقق
اگر که هنوز هم به دنبال بهترین دکتر ایمپلنت در قم هستید ما به شما دکتر محمد باقر محقق را پیشنهاد میکنیم؛ ایشان عضو سازمان نظام پزشکی ایران هستند و در حدود 21 سال سابقه کاری دارند که این نشان دهنده تجربه بالای این پزشک حاذق می باشد. گفتنی است که این پزشک با تجربه در سال 1400 موفق شدند که لوح دندانپزشک نمونه را از دانشگاه علوم پزشکی قم دریافت کنند.
توصیه های مراقبتی بعد از ایمپلنت دندان
پس از انجام ایمپلنت توسط بهترین دکتر ایمپلنت در قم، لازم است که به صورت ویژه به مراقبت و بهداشت پس از ایمپلنت، توجه کنید. ما در زیر پنج توصیه مهم پس از ایمپلنت دندان را آورده ایم:
- رعایت بهداشت دهان و دندان: باید دندان خود را به طور منظم و دقیق با مسواک و نخ دندان تمیز کنید تا از ایجاد عفونت و دیگر مشکلات دهانی جلوگیری کنید.
- جلوگیری از ایجاد فشار روی ایمپلنت: لازم است که طی دوران بهبودی به مدت چند هفته غذا های نرم مصرف کرده و از خوردن غذا های سفت و سخت اجتناب کنید تا زمانی که ایمپلنت به طور دائمی در جای خود قرار بگیرد.
- مراجعه منظم به پزشک: پس از ایمپلنت دندان، باید به صورت منظم به پزشک مراجعه و وضعیت دندان و لثه های خود را بررسی کرده و از سلامت آن ها اطمینان حاصل کنید.
- اجتناب از انجام عادات مضر: اجتناب از انجام عادات مضر، مانند سیگار کشیدن و استفاده از مواد مخدر موجب حفظ و بهبود سلامتی ایمپلنت و دندان می شود.
با اجرای این توصیه ها و مراقبت منظم، می توانید از سلامت و طول عمر ایمپلنت دندان خود مطمئن شوید.

مزایای ایمپلنت دندان
یکی از اصلی ترین مزایای استفاده از ایمپلنت دندان، امکان حفظ استخوان های فک و جلوگیری از تحلیل رفتن آن ها است؛ چرا که در نبود دندان، استخوان ها به تدریج از بین می روند اما با جایگزینی دندان به وسیله ایمپلنت، این روند مهلک به تاخیر می افتد و استخوان ها حفظ می شوند.
مزیت دیگر استفاده از ایمپلنت دندان، استحکام و پایداری آن است. با داشتن ایمپلنت دندان، دندان جدید به استخوان فک ثابت می شود و این بدان معنی است که شما با اطمینان بیشتری می توانید از دندان خود استفاده کنید.
استفاده از ایمپلنت دندان تأثیر مثبتی بر روی کیفیت زندگی شما خواهد داشت چرا که با بازگرداندن دندان های از دست رفته، بهبود قابل توجهی در کار های روزمره خود می بینید؛ به عنوان مثال غذا خوردن شما بهتر و راحت تر می شود و همچنین اعتماد به نفس شما بیشتر خواهد شد. البته اگر که فک شما دارای مشکل است بهتر است قبل از مراجعه به بهترین دکتر ایمپلنت در قم به بهترین جراح فک و صورت در قم مراجعه کنید
کلام آخر
ما در این مقاله در مورد ایمپلنت و مزایای آن صحبت کردیم و همچنین لیست 10تایی از بهترین دکتر ایمپلنت در قم را در اختیار شما قرار دادیم. امید داریم که توانسته باشیم اطلاعات خوب و مفیدی در اختیار شما قرار دهیم و از خواندن مطالب لذت برده باشید. از آن جایی که ایمپلنت یک روش درمانی سخت است، انتخاب یک دکتر کار بلد و حاذق برای انجام این کار، اهمیت بسیار زیادی دارد تا احساس بهتری داشته باشید و نیز ایمپلنت شما بعد از کاشت با مشکل مواجه نشود. انتقادات و پیشنهادات خود را در این زمینه با سایت دندانپزشکا در میان بگذارید.
افرادی که استخوان فک سالم داشته و به بیماری جدی کنترلنشده مثل دیابت شدید مبتلا نیستند معمولاً میتوانند ایمپلنت انجام دهند.
مسواک زدن منظم، استفاده از نخ دندان، مراجعه دورهای به دندانپزشک و پرهیز از سیگار باعث افزایش موفقیت ایمپلنت میشود.
ایمپلنت ثابت بوده و بهبود جویدن و زیبایی بهتر از دندانهای مصنوعی متحرک ارائه میدهد.
ایمپلنت فوری برای همه مناسب نیست و بسته به کیفیت استخوان و بررسی پزشک، تصمیمگیری میشود.
معمولاً ۲ تا ۶ ماه پس از کشیدن دندان و ترمیم استخوان، ایمپلنت قابل انجام است؛ در برخی شرایط ایمپلنت فوری هم ممکن است.
ایمپلنت با جایگزینی ریشه دندان، تحریک استخوان را حفظ میکند و جلوی تحلیل استخوان را میگیرد، برخلاف پروتز متحرک.







