معرفی10 تا از بهترین دکتر بلیچینگ در تهران【آپدیت1405】✅

اسامی بهترین دکتر بلیچینگ در تهران از دیدگاه دندانپزشکا:
- دکتر مانوشا امیری ( اندرزگو )
- دکتر کسری ناصری (نیاوران)
- دکتر بیتا مدبر ( اندرزگو )
- دکتر مریم علوی (پاسداران)
- دکتر مهسا حیدری (نارمک)
- دکتر علی مهرفرد (میرداماد)
- دکتر علی آرزوبخش (الهیه)
- کلینیک دندانپزشکی صفا (سهروردی شمالی)
- دکترعزیز گشاده رو (الهیه)
- دکتر مهدی نعمت الهی (اتوبان ستاری)
امروزه با پیشرفت علم و تکنولوژی، روش های زیادی برای سفید کردن دندان ها وجود دارد که از جمله این روش ها می توان به بلیچینگ دندان (Teeth bleaching) اشاره کرد. ما در این مقاله قصد داریم اطلاعات به روزی را درباره بهترین دکتر بلیچینگ در تهران، در اختیارتان قرار دهیم تا به اطلاعات شما بیفزاییم. شاید برای شما هم این اتفاق افتاده باشد که با مصرف موادی مانند تنباکو و قهوه، مینا دندان شما رنگ این مواد را به خود بگیرند و ظاهر دندان شما را تغییر دهند و برای حل این مشکل راه های بسیاری جهت سفید کردن دندان های خود، امتحان کرده باشید.
لیست بهترین دکتر بلیچینگ در تهران به همراه شماره تماس آن ها را معرفی کرده ایم:
| نام دندانپزشک | آدرس | شماره تماس |
| دکتر مانوشا امیری | اندرزگو ؛ تقاطع قیطریه ؛ کوچه کیارنگ | 09002226001 |
| دکتر کسری ناصری | نیاوران،خ باهنر،کوچه راد | 09104588188 |
| دکتر بیتا مدبر | بلوار اندرزگو، نبش وطن پور جنوبی | 02122390983 |
| دکتر مریم علوی | پاسداران، خیابان گل نبي، ابتدای شریعتی | 02126713834 |
| دکتر مهسا حیدری | نارمک – چهارراه تلفنخانه – خیابان شهید ثانی به سمت شرق | 02177930051 |
| دکتر علی مهرفرد | میرداماد ، ضلع شمالی میدان مادر ، خیابان سنجابی | 02122921018 |
| دکتر علی آرزوبخش | الهیه،خیابان شهید فیاضی(فرشته) | 09367000233 |
| کلینیک دندانپزشکی صفا | سهروردی شمالی ،خیابان خرمشهر، پلاک 18 | 02188526990 |
| دکترعزیز گشاده رو | الهیه، تقاطع کوچه دشتی یا عظیمی، پلاک 4 | 02166606157 |
| دکتر میلاد لاریجانی | شریعتی شمال، بعد از تقاطع ظفر، کوچه صادقیان | 09129647386 |
10 تا از بهترین دکتر بلیچینگ در تهران
دکتر مانوشا امیری
دندانپزشکی ترمیمی و زیبایی دندان یک نوع هنر و هنر نمایی حساس است که به زمان و مهارت بالایی نیاز دارد، بنابر این انتخاب بهترین متخصص دندانپزشکی زیبایی و ترمیمی را جدی بگیرید.
مرکز ترمیمی و زیبایی دکتر مانوشا در محیطی زیبا ،آرام بخش و دلنشین و با استفاده از متد روز دنیا و بهره گیری از بهترین متریال های معتبر و شناخته شده دنیا لبخندی زیبا برای مراجعین گرامی به ارمغان می آورد.
هفته کاری شامل روز و ساعت شروع و پایان
شنبه ؛ دوشنبه ؛ چهارشنبه ؛ پنج شنبه
10 الی 18
دکتر کسری ناصری
دکتر کسری ناصری جراح و دندانپزشک زیبایی فارغالتحصیل از دانشگاه تهران و دارای فلوشیپ زیبایی از دانشگاه جنوا ایتالیا می باشند. ایشان مهارت بسیار بالایی را در زمینه طراحی لبخند با روش های کامپوزیت ونیر تکنیک لیرینگ و لمینیت های سرامیکی دارند. همچنین درمان تخصصی کاشت و ایمپلنت دندان و تمامی خدمات درمانی دندانپزشکی در مرکز ایشان ارائه میشود. مرکز دندانپزشکی دکتر کسری ناصری در محیطی لوکس ،آرام بخش و دلنشین با استفاده از متد روز دنیا و بهره گیری از بهترین متریال های معتبر شناخته شده دنیا آماده خدمت رسانی و پذیرایی از مراجعه کنندگان عزیز میباشد.
برای مشاهده نمونه کارها به پیدکتر کسری ناصری جراح و دندانپزشک زیبایی فارغالتحصیل از دانشگاه تهران و دارای فلوشیپ زیبایی از دانشگاه جنوا ایتالیا می باشند. ایشان مهارت بسیار بالایی را در زمینه طراحی لبخند با روش های کامپوزیت ونیر تکنیک لیرینگ و لمینیت های سرامیکی دارند. همچنین درمان تخصصی کاشت و ایمپلنت دندان و تمامی خدمات درمانی دندانپزشکی در مرکز ایشان ارائه میشود. مرکز دندانپزشکی دکتر کسری ناصری در محیطی لوکس ،آرام بخش و دلنشین با استفاده از متد روز دنیا و بهره گیری از بهترین متریال های معتبر شناخته شده دنیا آماده خدمت رسانی و پذیرایی از مراجعه کنندگان عزیز میباشد.
برای مشاهده نمونه کارها به پیج اینستاگرام سر بزنید.ج اینستاگرام سر بزنید.
دکتر بیتا مدبر
دکتر بیتا مدبر جراح دندانپزشک ، ۱۵ سال سابقه کار و دارای سرتیفیکیت زیبایی و ایمپلنت از اشترومن سوئیس.
مطب مجهز به جدیدترین دستگاه های روز دنیاست عصب کشی با بهترین دستگاه روتاری انجام میشود و مجهز به جدیدترین دستگاه رادیوگرافی دیجیتال میباشد.
روزهای کاری مطب
شنبه دوشنبه چهارشنبه از ساعت ۱۵ الی ۲۰
کلیه خدمات درمانی و زیبایی با تضمین کیفیت و بهترین مواد انجام میشود.
دکتر مریم علوی
انجام کلیه خدمات دندانپزشکی شامل بلیچینگ، زيبايي کامپوزيت ونير و لمينيت سراميکي، روکش سراميکي، ایمپلنت، ترمیم همرنگ دندان، عصب کشی در محیطی بسیار تمیز و آرام و شیک توسط دکتر مریم علوی با بیش از ۱۲ سال سابقه انواع درمانهای دندانپزشکی.
مطب دندانپزشکی دکتر مهسا حیدری
مطب دکتر مهسا حیدری خدمات زیر را به انجام میرساند:
دکتر علی مهرفرد
دکتر علی مهرفرد متخصص دندانپزشک زیبایی می باشد که با چندین سال تجربه توانسته است اعتماد بسیاری از مراجعین را کسب نماید. خدمات او جرم گیری ، لمینیت ، کامپوزیت ، بیلیچینگ (home/office) ، طراحی لبخند دیجیتال ، ویزیت و طرح درمان دیجیتالی توسط نرم افزار های سه بعدی پیشرفته ، درمان ریشه (عصب کشی) ، کشیدن دندان ، ارتودنسی دیجیتال ، ایمپلنت دیجیتال می باشد.
دکتر علی آرزوبخش
متخصص پروتزهای دندانی،ایمپلنت،زیبایی
فارغ التحصیل دندانپزشکی عمومی از دانشکده دندانپزشکی مشهد
فارغ التحصیل تخصص پروتز از دانشکده دندانپزشکی تهران
عضو هیئت علمی سابق دانشکده دندانپزشکی
مدرس دوره های آموزشی دندانپزشکی
چاپ چندین مقاله در مجالات معتبر جهانی
ترجمه و تدوین چندین کتاب در زمینه پروتز و دندانپزشکی زیبایی
کلینیک دندانپزشکی صفا
کلینیک دندانپزشکی صفا در منطقه تهران واقع شده و به ارائه خدمات متنوع دندانپزشکی میپردازد. این کلینیک با هدف ارتقاء سلامت دهان و دندان مراجعهکنندگان و با بهرهگیری از تجهیزات مدرن و تیم متخصص، خدمات خود را ارائه میدهد.
دکترعزیز گشاده رو
یکی دیگر از بهترین دکتر بلیچینگ در تهران دکتر عزیز گشاده رو می باشد. ایشان یکی از متخصصین پروتز دندانی، ایمپلنت و زیبایی می باشند که در کار خود بسیار ماهر هستند. دکتر گشاده رو عضو هیئت علمی دانشگاه شهید بهشتی تهران و رتبه اول بورد تخصصی کشور می باشد. همچنین ایشان استاد و مدرس دوره های متعدد لمینت سرامیکی و زیبایی هستند.
دکتر میلاد لاریجانی
این دندانپزشک ماهر قریب به 15 سال سابقه کار داشته و متخصص پروتزهای دندانی هستند. دکتر لاریجانی از ابزارها و تجهیزات مدرن دندانپزشکی برای اصلاح لبخند زیباجویان استفاده میکند. اکثر مراجعین ایشان به اشتراک از ظاهر طبیعی دندانهای خود ابراز رضایت کردهاند. دکتر میلاد لاریجانی دارای بورد تخصصی بوده و تحصیلات خود را در دانشگاههای معتبر کشور به اتمام رسانده است.
ویژگی های بهترین دکتر بلیچینگ در تهران
اگر به دنبال لبخندی درخشان و جذاب هستید، انتخاب بهترین دکتر بلیچینگ در تهران اهمیت زیادی دارد. یک دکتر حرفهای، فقط دندانها را سفید نمیکند؛ بلکه تجربهای راحت، ایمن و سفارشی برای شما خلق میکند.
- تشخیص تخصصی و شخصیسازی درمان: هر لبخند منحصر به فرد است و دکتر باید روش و مواد مناسب برای شما را انتخاب کند.
- مهارت در استفاده از تکنیکها و مواد پیشرفته: تجربه بالا در کار با مواد سفیدکننده، لبخندی طبیعی بدون حساسیت ایجاد میکند.
- مطب مجهز و محیط آرام: تجهیزات مدرن و محیطی دوستانه باعث تجربهای راحت و بدون استرس میشود.
- راهنمایی کامل پس از درمان: مراقبت درست بعد از بلیچینگ، نتیجه را ماندگار و لبخند شما را سالم نگه میدارد.
با انتخاب بهترین دندانپزشک در تهران، شما فقط دندان سفید نمیگیرید؛ بلکه اعتماد به نفس و لبخندی که همیشه میخواهید را هم تجربه میکنید.

هزینه خدمات دکتر بلیچنگ در تهران
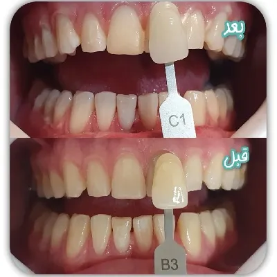
بلیچینگ دندان یکی از محبوبترین روشهای زیبایی است که میتواند لبخندی درخشان و جذاب برای شما ایجاد کند. هزینه بلیچینگ در تهران به عوامل مختلفی مانند تخصص و تجربه دندانپزشک، نوع مواد مصرفی، روش درمان و تجهیزات مطب بستگی دارد.
انتخاب بهترین دکتر بلیچینگ در تهران معمولاً هزینه بالاتری دارد، اما تضمین کیفیت، امنیت و ماندگاری نتیجه را فراهم میکند. بلیچینگ میتواند به صورت مطبی، خانگی یا ترکیبی انجام شود و حتی روشهای پیشرفتهای مثل لیزر و سیستمهای فوری نیز موجود هستند.
جدول تقریبی هزینه بلیچینگ در تهران:
| نوع بلیچینگ | هزینه تقریبی (تومان) | توضیحات |
|---|---|---|
| بلیچینگ مطب (Office Bleaching) | ۲,۵۰۰,۰۰۰ – ۵,۰۰۰,۰۰۰ | انجام در مطب توسط دندانپزشک، سریع و مؤثر |
| بلیچینگ خانگی (Home Bleaching) | ۱,۵۰۰,۰۰۰ – ۳,۰۰۰,۰۰۰ | قالب مخصوص و مواد سفیدکننده برای استفاده در خانه |
| بلیچینگ ترکیبی | ۳,۵۰۰,۰۰۰ – ۶,۰۰۰,۰۰۰ | ترکیب بلیچینگ مطب و خانگی برای نتیجه بهتر و ماندگارتر |
بهترین زمان انجام بلیچینگ دندان
بلیچینگ دندان روشی محبوب برای داشتن لبخندی سفید و جذاب است، اما انتخاب زمان مناسب برای انجام آن بسیار مهم است. بهترین زمان بلیچینگ زمانی است که دندانها سالم و بدون پوسیدگی یا مشکلات لثهای باشند، زیرا انجام آن روی دندانهای آسیبدیده میتواند باعث حساسیت یا عوارض شود.
معمولاً افراد بالای ۱۸ سال میتوانند برای بلیچینگ اقدام کنند. همچنین کسانی که اخیراً ارتودنسی، پرکردگی یا لمینت داشتهاند، بهتر است پیش از شروع درمان با دندانپزشک مشورت کنند تا نتیجهای طبیعی و ماندگار داشته باشند.
انتخاب بهترین دکتر بلیچینگ در تهران نقش کلیدی در موفقیت درمان دارد. دندانپزشک با بررسی وضعیت دندانها، نوع لکهها و رنگ طبیعی دندان، روش مناسب و زمان دقیق درمان را پیشنهاد میدهد تا تجربهای ایمن، راحت و مؤثر برای شما ایجاد شود.

کلام آخر
بلیچینگ دندان یکی از روش های ترمیمی و زیبایی دندان می باشد. با کمک این روش، هم در خانه و هم در مطب میتوان دندان های خود را سفید کرد. در این روش دندانپزشک متخصص ماده ای به نام پر اکسید هیدروژن را برای مطب و پر اکسید کربامید را برای خانه، به مراجعین خود تجویز می کند. این مواد با نفوذ به ساختار کریستالی مینای دندان، باعث سفیدی آن می شود و حتی این مواد می تواند عاج دندان را نیز سفید کند.
ما در این مقاله تمام تلاش خود را به کار گرفتیم تا اطلاعات مفید و به روزی را در مورد بهترین دکتر بلیچینگ در تهران در اختیار شما قرار دهیم تا بتوانیم به اطلاعات شما در این باره بیفزاییم. لطفا نظرها و انتقاد های خود را در جهت بهبود این مقاله از طریق سایت دندانپزشکا برای ما ارسال کنید.
باید دکتری را انتخاب کرد که سابقه کاری طولانی داشته و زیباجویان از نحوه عملکرد و درمان خود راضی بوده باشند.
بلیچینگ، کامپوزیت، جرم گیری، پروتز دندان، ایمپلنت، لمینت، افزایش طول تاج، باندینگ و روکش از جمله خدمات زیبایی دندان است.
در فضای مجازی و سایتها جستجو کرده و با مشاهده نمونه کار، دندانپزشک مورد نظر خود را بیابید. در این راستا میتوانید از کسانی که به تازگی از خدمات زیبایی دندان استفاده کردهاند، کمک بگیرید.
ماندگاری بلیچینگ معمولاً بین ۶ ماه تا ۲ سال است و به رعایت بهداشت دهان و رژیم غذایی بستگی دارد.
خیر، بلیچینگ معمولاً بدون درد است و فقط ممکن است حساسیت موقت ایجاد شود.
خیر، افرادی با پوسیدگی فعال، مشکلات لثه یا خانمهای باردار باید قبل از انجام بلیچینگ با پزشک مشورت کنند.
هزینه بلیچینگ بسته به روش درمان، مواد مصرفی و تخصص پزشک متفاوت است.
تا ۴۸ ساعت از مصرف قهوه، چای، سیگار و مواد غذایی رنگی خودداری کنید.







