5 تا از بهترین دکتر ارتودنسی در ونک❤️【سال1404】⚡
افراد زیادی از اختلالات دندانی و فکی رنج میبرند و به دنبال حل این مشکل هستند، تنها راه درمان آنها مراجعه به بهترین دکتر ارتودنسی در ونک است. متخصص ارتودنسی با استفاده از تکنیکهای پیشرفته، به آنها کمک میکند تا اختلالات دندانی و فکی خود را درمان کنند و به لبخند زیبا و سلامتی دندانها و فکهای خود دست یابند. او با تجربه و دانش فنی خود، بیماران را راهنمایی میکند تا بهترین راهحل برای مشکلات دندانی و فکی آنها پیدا کند. دکتر ارتودنسی باید توانایی برقراری ارتباط با بیماران، تشخیص اختلالات دندانی و فکی داشته باشد تا درمانی مناسب برای بیمار انجام دهد.
ارتودنسی چیست؟
ارتودنسی، یکی از رشتههای دندانپزشکی است که به تغییر موقعیت دندانها و فکها با استفاده از ابزارهایی هم چون براکت، باند و وایر میپردازد. هدف این درمان اصلاح بینظمی های دندانی، جلوگیری از بروز مشکلات دندانی در آینده و بهبود ظاهر صورت و لبخند است. ارتودنسی انواع مختلفی دارد که شامل: کلاسیک و لینگوالی و شفاف میباشد.
دندانپزشک در ارتودنسی کلاسیک از براکت های فلزی برای اصلاح موقعیت دندانها و فکها استفاده میکند. ارتودنسی شفاف از براکت های شفاف و یا شیشهای ساخته شده است که به دندانها چسبانده میشود و نامشخص بودن آنها باعث میشود که بیشتر بیماران این روش را ترجیح دهند. در ارتودنسی لینگوالی براکت ها به طور معمول در داخل دهان، به سمت زبان و لب چسبانده میشوند، بنابراین از بیرون قابل رویت نیستند.
ارتودنسی یا ارتوپدی دندانی برای تشخیص، پیشگیری و درمان اختلالات دندانی و فکی مانند: اختلالات برجستگی یا فرورفتگی دندانها، عدم هم ترازی فکها، جابجایی دندانها و… به کار میرود. درمان این اختلالات میتواند، بهبود عملکرد دندانها و فکها را به همراه داشته باشد و باعث پیشرفت کیفیت زندگی بیماران شود.
مقاله مرتبط: 10 تا از بهترین دکتر ارتودنسی در تهران⚡【1404】✅

ویژگی های بهترین دکتر ارتودنسی در ونک
- تجربه و تخصص دکتر ارتودنسی: تخصص دکتر ارتودنسی شامل: تشخیص، پیشگیری و درمان اختلالات دندانی و فکی است. برای داشتن تخصص در این حوزه، او باید دوره دندانپزشکی عمومی را به اتمام رسانده و دوره تخصصی ارتودنسی را در دانشگاهها و مراکز آموزشی بگذراند و بعد از اتمام دوره تخصصی ارتودنسی، برخی از دکترهای ارتودنسی تصمیم میگیرند در زمینههای مرتبط با ارتودنسی مانند: جراحی فک و صورت، ایمپلنتولوژی، ارتوگناتیک و… تخصص بیشتری کسب کنند.
- استفاده از مواد اورجینال: دکتر ارتودنسی، باید از موادی استفاده کند که دارای کیفیت و استحکام بالایی باشد تا بهترین درمان را برای بیمار انجام دهد از جمله موادی که در ارتودنسی استفاده میشود، پیشانی و بندهای برنجی، بندهای شفاف و سیمهای فولادی هستند که باید از مواد درجه یک و اورجینال تهیه شوند.
- درک مشکل مالی بیمار: بهترین دکتر ارتودنسی در ونک باید با درک کامل از مشکلات مالی بیمار، با ارائه راهکارهایی مناسب، به بیمار کمک کند تا بتواند هزینه درمان خود را به راحتی پرداخت کند و بدون اضطراب، از درمان خود بهرهمند شود.
- مشاوره با بیمار: در این مشاوره، بهترین دکتر ارتودنسی در ونک با بیمار در مورد اهداف و نیازهای درمانی او صحبت میکند و به او توضیح میدهد که چگونه میتواند با درمان، به بهبود وضعیت دندانها و فکهای خود برسد در این مشاوره اطلاعات لازم در مورد برنامه درمانی به بیمار ارائه و توضیح داده میشود.
- داشتن نمونهکار موفق: بسیاری از دندانپزشکان ارتودنسی، نمونه کارهای قبل و بعد از درمان خود را به صورت عکسهایی در صفحات مجازی قرار میدهند تا به بیماران خود نشان دهند که چگونه درمانشان تاثیرگذار بوده و این تضمین به بیماران داده میشود که مشکلات دندانی آنها رفع خواهد شد.
5 تا از بهترین دکتر ارتودنسی در ونک را بشناسید!
دکتر احمد شیبانی نیا

دکتر احمد شیبانی نیا بهترین دکتر ارتودنسی در ونک هستند. ایشان دارای فلوشیپ فوق تخصصی ارتودنسی و جراحی میباشند و با بیش از 25 سال سابقه در انجام تمام روشهای درمانی ارتودنسی، تبحر و مهارت ویژهای دارند. یک نکته مهم در مورد دکتر شیبانی نیا این است که تمام مراحل درمان را بدون کمک از دستیاران و به تنهایی انجام میدهند و به طور کامل مسئولیت درمان را برعهده میگیرند.
خدمات:
- ارتودنسی ثابت
- ارتودنسی لینگوال
- ارتودنسی سرامیکی
- ارتودنسی متحرک
- درمان انواع ناهنجاریهای فک
آدرس: تهران، میدان ونک، خیابان ولیعصر، روبروی پارک ملت، جنب برج ملت، کوچه انصاری یا صداقت، پلاک82، واحد7
لوکیشن مطب دکتر احمد شیبانی روی گوگل مپ
شماره تماس:
02122015498
02144705232
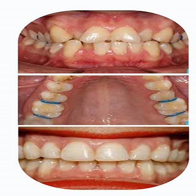
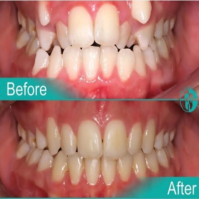
نمونه کار دکتر احمد شیبانی نیا:
دکتر فریبرز امینی

دکتر امینی، یکی از برجستهترین اساتید حوزه دندانپزشکی در ایران هستند. ایشان از سال 1375 به عنوان استادیار و عضو هیئت علمی تمام وقت در دانشکده دندانپزشکی مشغول به کار شدند و با علم و تجربه خود، محیطی بسیار پویا و آموزنده را برای دانشجویان فراهم کردهاند. دکتر امینی با دریافت رتبه دانشیاری در سال 1386 و ارتقا به رتبه استاد تمامی (پروفسوری) در سال 1393 به عنوان یکی از برترین اساتید در زمینه دندانپزشکی در ایران شناخته میشوند.
خدمات :
- ارتودنسی متحرک
- جراحی دندانهای نهفته
- طراحی و ساخت دستگاههای ارتودنسی متحرک
- ارتودنسی ثابت
- ارتودنسی با براکت هم رنگ
آدرس: تهران، میدان ونک، خیابان ملاصدرا، بین شیراز و شیخ بهایی، جنب مسکن ونک آرا، ساختمان سرور، شماره 174، طبقه سوم، واحد 6
لوکیشن مطب دکتر فریبرز امینی روی گوگل مپ
شماره تماس:
02188055453
09911648018
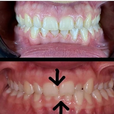
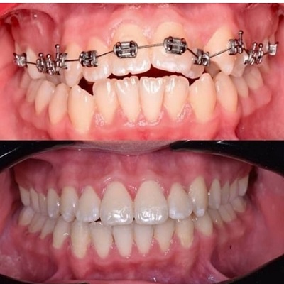
نمونه کار دکتر فریبرز امینی:
دکتر امیرحسین میرهاشمی

دکتر سید امیرحسین میرهاشمی، بهترین دکتر ارتودنسی در ونک هستند که در زمینه تخصصی ارتودنسی دارای مدارک برجستهای میباشند. علاوه بر تخصص در ارتودنسی، ایشان دارای فلوشیپ ناهنجاریهای فک و شکاف لب و کام می باشند و به عنوان نفر اول بورد ارتودنسی ایران شناخته میشوند. دکتر سید امیرحسین میرهاشمی در دانشگاه تهران به عنوان دانشیار فعالیت میکنند و فارغالتحصیل دانشگاه علامه حلی تهران هستند که نشان از تحصیلات برجسته و پایهریزی قوی در حوزه دندانپزشکی میباشد.
خدمات دکتر امیرحسین میرهاشمی :
- ارتودنسی شفاف
- ارتودنسی متحرک
- ارتودنسی ثابت
- ارتودنسی لینگوال
- ارتودنسی دیمون
آدرس: تهران، میدان ونک، خیابان ملاصدرا، بعد از تقاطع شیرازی، جنب ساختمان پزشکان ملاصدرا، پلاک 107، طبقه 2، واحد 23
لوکیشن مطب دکتر سید امیرحسین میرهاشمی روی گوگل مپ
شماره تماس:
02188211645
02188211640
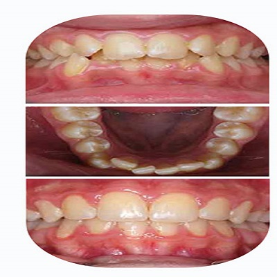
نمونه کار دکتر امیرحسین میرهاشمی:
دکتر مهسا شریعتی

دکتر مهسا شریعتی، دندانپزشک، متخصص ارتودنسی و ناهنجاریهای فکی دارای بورد تخصصی و عضویت در انجمن متخصصین ارتودنسی آمریکا هستند. ایشان کتابی با عنوان ارتودنسی و جراحی دندانهای نهفته را نوشتهاند و اختراعاتی با عناوین ساخت بافت شبه عاجی از سلولهای بنیادی پالپ دندان انسان و استخراج و جداسازی و کشت سلولهای بنیادی مزانشیمی از پالپ دندان عقل را ثبت کردهاند. شما میتوانید از تجربه و تخصص ایشان در زمینه ارتودنسی و از خدمات با کیفیتشان که مطابق با آخرین پیشرفتهای علمی در این حوزه است، بهرهمند شوید.
خدمات دکتر مهسا شریعتی:
- ارتودنسی ثابت
- ارتودنسی متحرک
- ارتودنسی کودکان
- ارتودنسی سرامیکی
- ارتودنسی نامرئی
آدرس: تهران، منطقه 3، محله کاووسیه، میدان ونک، خیابان گاندی جنوبی، کوچه 21، پلاک 18
لوکیشن مطب دکتر مهسا شریعتی روی گوگل مپ
شماره تماس:
09123456789
02188660457
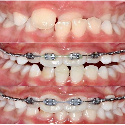
نمونه کار دکتر مهسا شریعتی:
دکتر سید محمد رضا صفوی

دکتر سید محمد رضا صفوی از بهترینها در حوزه ارتودنسی و درمان ناهنجاریهای فک و صورت هستند. ایشان دکترا تخصصی در ارتودنسی دارند و با تجربه بالا در انجام درمانهای خود رضایت کامل بیماران را جلب نمودهاند به گفته مراجعه کنندگان، مشاوره و درمانهای ایشان بی نظیر است. در صورت هرگونه مشکلات دندانی و فکی میتوانید به مطب ایشان واقع در خیابان ونک مراجعه بفرمایید.
خدمات دکتر سید محمد رضا صفوی:
- درمان ارتودنسی در بیماران با شکاف لب
- ارتودنسی پیشگیرانه
- ارتودنسی ثابت
- ارتودنسی شفاف
- ارتودنسی متحرک
آدرس: تهران، خیابان ونک، خیابان شیراز شمالی، خیابان دانشور شرقی، پلاک28
لوکیشن مطب دکتر سید محمدرضا صفوی روی گوگل مپ
شماره تماس:
02188052528
02188030789
اقدامات بهترین دکتر ارتودنسی در ونک
بهترین دکتر ارتودنسی در ونک قبل از هر اقدامی، باید بررسی دقیق از دندانها و فکهای بیمار انجام دهد تا بتواند به درستی مشکلات او را تشخیص دهد و برنامه درمانی مناسبی را برایش تدوین کند. در ابتدا، دکتر باید به بیمار توضیح دهد که چه مشکلاتی در دندانها و فکهایش وجود دارد و چگونه ارتودنسی میتواند این مشکلات را حل کند؟ سپس بر اساس شدت مشکلات، دکتر ممکن است از تصاویر رادیوگرافی، اسکنهای سه بعدی و مدل سه بعدی دندان های بیمار استفاده کند تا بهترین راهکار را برای درمان انتخاب کند.
دکتر ارتودنسی با استفاده از متدهایی مانند: براکت ها، سیمهای ارتودنسی، طبقات ارتودنسی و دستگاههای بالابرنده فک تلاش میکند تا دندانها و فکهای بیمار را به جایگاه درست خود برگرداند. در این مرحله، باید پیشرفتهای بیمار به صورت منظم پیگیری و اصلاحات لازم انجام شود. در مراحل مختلف درمان، دکتر ارتودنسی باید به بیمار توضیح دهد که چگونه غذا خوردن و شستن دندانها در حین استفاده از دستگاههای ارتودنسی باید انجام گیرد و چه نکاتی در این رابطه باید رعایت شود.

چرا باید ارتودنسی انجام دهیم؟
ارتودنسی به دلایل مختلفی انجام میشود، از جمله: بهبود ظاهر دندانها و فک، ارتقا عملکرد دندانها و فک در بلعیدن، صحبت کردن و… میباشد. بعضی از مشکلات دندانی و فکی مانند: اختلالات برجستگی یا فرورفتگی دندانها، عدم همترازی فکها، جابجایی دندانها و… میتوانند به مشکلات بیشتری، مانند درد، سایش، تهوع و حتی در بعضی موارد مشکلات گوارشی منجر شوند. اگرچه این مشکلات به نظر کوچک هستند اما ممکن است تأثیرات جدی بر روی سلامت شخص داشته باشند.
علاوه بر این، در صورتی که دندانها به درستی همتراز نشوند، بهداشت دهان و دندانها انجام پذیر نخواهد بود. دندانهایی که در موقعیت نامناسب قرار دارند، به راحتی قابل تمیز شدن نیستند و ممکن است عفونت، لکههای دندانی، پوسیدگی و… ایجاد کنند. بنابراین، ارتودنسی میتواند به بهداشت دهان و دندانها بهبود ببخشد.
کلام آخر
به طور کلی، دکتر ارتودنسی باید از ابتدا تا انتهای درمان، برای بیمارش پیگیری دقیقی داشته باشد و به او راهنماییهای لازم را برای بهبود بهداشت دهان و دندانهایش بدهد. هم چنین، باید در مراحل مختلف درمان، آشنا به بهترین روشهای ارتودنسی و پیشرفتهای علمی و تکنولوژیکی در این حوزه باشد تا درمان به بهترین شکل ممکن برای بیمار انجام شود.
با تشکر از شما دوستان و همراهان گرامی که ما را تا پایان این مقاله همراهی کردید، هدف ما معرفی بهترین دکتر ارتودنسی در ونک بود. امیدواریم مطالب مفیدی را در اختیار شما گذاشته باشیم. بسیار خرسند میشویم که در صورت داشتن هرگونه انتقاد و پیشنهادی از طریق سایت دندانپزشکا آن را با ما مطرح کنید.







