5 تا از بهترین متخصص لمینت در فرشته【سال1404】❤️

فهرست ارائه شده از بهترین متخصص لمینت در فرشته از دیدگاه دندانپزشکا:
- دکتر علیرضا ارجمند خواه (بلوار اندرزگو)
- دکتر علیرضا دهش (خیابان شریعتی)
- دکتر مریم کاردان (محدوده تجریش)
- دکتر علی صفار (بلوار بهزادی)
- دکتر رسا ابراهیمی سرخابی (خیابان مقدس اردبیلی)
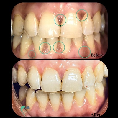
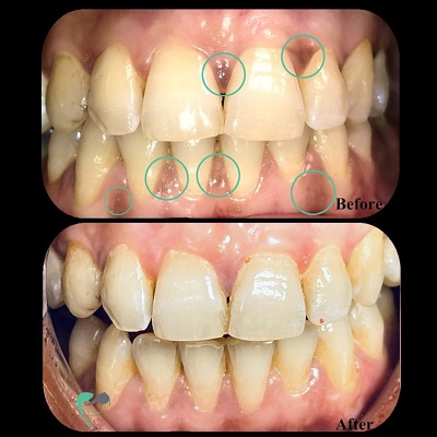
انجام لمینت برای دندان، یکی از روشهایی است که افراد برای زیباتر شدن و یا پنهان نمودن ایرادات دندان و ترمیم استفاده میکنند. برخی از دندانپزشکان فیلد کاری خود را به انجام خدمات زیبایی تغییر میدهند و تبدیل به یک متخصص لمینت و کامپوزیت میشوند. دندانپزشکان با استفاده از مواد نازکی که بر روی دندانها قرار میگیرد، ظاهر دندان را یک دست و زیبا میکنند و باعث افزایش اعتماد به نفس در افراد میگردند. در این مقاله ما میخواهیم 5 تا از بهترین متخصص لمینت در فرشته را به ساکنین این منطقه معرفی کنیم. در ادامه همراه ما باشید تا بیشتر در مورد چگونگی انجام این روش آشنا شوید.
لمینت دندان چیست؟
لمینت دندان نوعی اقدام زیبایی است که دندانپزشکان چندین سال است آن را برای بهبود ظاهر دندانها و نوعی روش ترمیمی به کار میبرند و امروزه جزو اقدامات رایج زیبایی است. بهترین متخصص لمینت در فرشته با استفاده از روکش نازکی که گاهی به آن ونیر نیز میگویند، ایرادات دندان را برطرف میکند. با استفاده از این ماده ظاهر دندان فرد، رنگ آن، شکل و اندازه دندان متناسب با درخواست زیباجو اصلاح میشود. لمینت علاوه بر ایجاد تغییرات ظاهری در زیباجو، مزیتهای دیگری هم چون افزایش مقاومت و قدرت دندانها و همچنین بهبود ناترازی و پایین و بالا بودن دندانها را نیز به همراه دارد. ممکن است بهترین متخصص لمینت در فرشته که یک دندانپزشک زیبایی محسوب میشود برای روکشی که قرار است بر روی دندان زیباجوی خود کار کند، از مواد کامپوزیتی و یا از مواد پرسلن استفاده کند. جنس مواد چینی یا همان پرسلن از کامپوزیت بهتر بوده و در برابر لکه و رنگ گرفتگی مقاومتر است. ضمناً مواد چینی میتواند نور را نیز بازتاب کرده و شفافیت بیشتری به دندانها بدهد. از این نظر استفاده از این مواد باعث طبیعیتر جلوه دادن دندانها و زیبایی بیشتر آن میشود.

مراحل انجام کار توسط بهترین متخصص لمینت در فرشته
مراحلی که بهترین دکتر لمینت در تهران برای قرار دادن لمینت به کار میبرد شامل موارد زیر میشود:
مرحله اول: پس از این که مشاوره و صحبتهای اولیه بین زیباجو و متخصص لمینت انجام شد، فرد باید پوسیدگیها و مشکلات اولیه دندان خود را برطرف کند. در این مرحله بهترین متخصص لمینت در فرشته متناسب با ضخامت مواد لمینتی که قرار است روی دندان قرار بگیرد، سطح دندان را با انجام بیحسی میتراشد. تراشیدن سطح دندان تا زمانی ادامه دارد که آسیبی به مینای دندان وارد نشود.
مرحله دوم: بعد از آماده شدن دندان، قالبگیری با مواد مخصوص انجام میگیرد و به لابراتوار ارسال میشود. لابراتوار 2 الی 4 هفته زمان میبرد که لمینتها را تحویل دهد. در طول این مدت به دلیل حساس بودن وضعیت دندانها، دندانپزشک پوششی را به صورت موقت بر روی دندان قرار میدهد.
مرحله سوم: بعد از آماده شدن روکشها، بهترین دندانپزشک زیبایی و ترمیمی در تهران روکشهای آماده شده را بر روی دندان قرار میدهد. برای این کار مجدداً دکتر کمی روی دندان را میتراشد تا زبری ایجاد شده باعث بهتر چسبیدن مواد بر روی دندان شود. سپس با استفاده از رزین مخصوص که به نور حساسیت دارد، لمینتها بر روی دندان قرار میگیرد و با تابش پرتو لیزری محکم میشود.
در ادامه لیستی از بهترین متخصص لمینت در فرشته به همراه خدمات و شماره تماس را برایتان ارائه دادهایم:
| نام دندانپزشک ⚡ | خدمات ⭐ | شماره تماس⚡ |
| دکتر علیرضا ارجمند خواه ✅ | طراحی لبخند، لمینت، ترمیم کامپوزیت | 02122211012 |
| دکتر علیرضا دهش ✅ | عصب کشی، ایمپلنت، لمینت | 02122642170 |
| دکتر مریم کاردان ✅ | ایمپلنت، ترمیم دندان | 09104541054 |
| دکتر علی صفار ✅ | کامپوزیت ونیر، بستن فاصله دندانی | 09129428661 |
| دکتر رسا ابراهیمی سرخابی ✅ | عصب کشی، ترمیم دندان، لمینت | 02122414103 |
۵ تا از بهترین متخصص لمینت در فرشته را بشناسید!
دکتر علیرضا ارجمند خواه

آقای دکتر علیرضا ارجمند خواه دارای مدرک تحصیلی دکترای حرفهای دندانپزشکی و عضویت در سازمان نظام پزشکی با شماره 160124، خدمات دندانپزشکی و زیبایی متفاوتی را به افراد ارائه میدهد. وی فارغالتحصیل دندانپزشکی از دانشگاه شهید بهشتی میباشد و تاکنون در مدت زمان 8 سال سابقه طبابت خود، موفق به افتتاح و راهاندازی دو کلینیک تخصصی دندانپزشکی در حسن آباد و اندرزگو تهران گردیده است. کلینیک دکتر ارجمند خواه در شعبه حسن آباد در سال 1395 با نام اکسیژن راهاندازی شد و پس از آن در سال 1400 ایشان اقدام به افتتاح کلینیکی تخصصیتر و مجهزتر با نام مهدیار در اندرزگو نمودند. خدمات بسیاری در این دو کلینیک ارائه میشود و میتوان گفت آقای دکتر ارجمند یکی از بهترین متخصص لمینت در چه فرشته میباشد.
خدمات دکتر علیرضا ارجمند خواه:
- جراحی دهان و دندان
- انجام لمینت و کامپوزیت و انواع اقدامات مربوط به زیبایی دندان و فک
- دندانپزشکی اطفال و سالمندان
- انجام ایمپلنت
- بلیچینگ و جرم گیری
آدرس دکتر علیرضا ارجمند خواه: فرشته، بلوار اندرزگو، جنب خیابان مهرمحمدی جنوبی، برج دیانا، طبقه نهم، واحد 17
لوکیشن مطب دکتر علیرضا ارجمند خواه روی گوگل مپ
شماره تماس دکتر علیرضا ارجمند خواه:
02122211012
دکتر علیرضا دهش

دکتر علیرضا دهش با شماره نظام پزشکی 159186، عضو سازمان نظام پزشکی ایران است. ایشان دکترای حرفهای دندانپزشکی بوده و در حال حاضر خدمات بسیاری را به بیماران خود ارائه میدهد. یکی از تخصصهای آقای دهش، انجام خدمات زیبایی دندان مثل کامپوزیت و لمینت میباشد و از این نظر یکی از بهترین متخصص لمینت در فرشته به شمار میرود.
خدمات دکتر علیرضا دهش:
- انجام ویزیت اولیه
- ایمپلنت و کاشت دندانی
- لمینت و کامپوزیت
آدرس دکتر علیرضا دهش: فرشته، خیابان شریعتی، نرسیده به پل صدر، پلاک 1680، واحد چهارم شمالی
لوکیشن مطب دکتر علیرضا دهش روی گوگل مپ
شماره تماس دکتر علیرضا دهش:
02122642170
دکتر مریم کاردان

خانم دکتر مریم کاردان فارغ التحصیل دندانپزشکی عمومی در سال 1384 و فارغالتحصیل دوره تخصصی پریودانتیکس در سال 1398 و همچنین دارنده بورد تخصصی پریودنتیست از دانشگاه شهید بهشتی میباشد. از جمله تخصصهای خانم کاردان، ایمپلنت و لمینت میباشد. خانم کاردان فلوشیپ لیزر از دانشگاه آخن آلمان را نیز دارد و در حال حاضر با توجه به رضایتی که بیماران و زیبا جویان از ایشان دارند، یکی از بهترین متخصص لمینت در فرشته محسوب میشود. خانم دکتر در روزهای زوج هفته آماده پذیرش بیماران با تعیین وقت قبلی میباشد.
خدمات دکتر مریم کاردان:
- جراحی لثه و ایمپلنت
- لمینت و کامپوزیت
- جراحی دندان های نهفته
آدرس دکتر مریم کاردان: فرشته، محدوده تجریش، خیابان فناخسرو، پلاک 10
لوکیشن مطب دکتر مریم کاردان روی گوگل مپ
شماره تماس دکتر مریم کاردان:
09104541054
دکتر علی صفار

آقای دکتر علی صفار یکی دیگر از دندانپزشکان است که به عنوان بهترین متخصص لمینت در فرشته شناخته میشود و خدمات زیبایی و درمانی را با بهترین کیفیت به افراد ارائه میدهد. شماره نظام پزشکی ایشان 120176 میباشد. دکتر صفار متخصص جراحی لثه و یا همان پریودانتیکس میباشد و به عنوان متخصص جراحی لثه فعالیت مینماید. دکتر صفار دارنده رتبه اول بورد تخصصی و مدرس دورههای ایمپلنت برای دندانپزشکان میباشد.
خدمات دکتر علی صفار:
- ایمپلنت و کاشت دندان
- بلیچینگ و سفید کردن دندان
- بازسازی و رفع عارضههای لثه
- بازسازی فک بالا و پایین
- لمینت و ونیرکامپوزیت
آدرس دکتر علی صفار: فرشته، بلوار بهزادی، نبش ماکویی پور، ساختمان سروین، پلاک 19، واحد 43
لوکیشن مطب دکتر علی صفار روی گوگل مپ
شماره تماس دکتر علی صفار:
09129428661
دکتر رسا ابراهیمی سرخابی

دکتر رسا ابراهیمی، دیگر دندانپزشکی است که به دلیل مهارت در انجام لمینت و اصلاح طرح لبخند به عنوان یکی از بهترین متخصص لمینت در فرشته شناخته میشود. ایشان دارای مدرک تحصیلی دکترای حرفهای دندانپزشکی هستند. علاوه بر انجام لمینت، در مطب شخصی ایشان خدماتی هم چون، بلیچینگ و بروساژ، فیسینگ وایمپلنت میباشد.
خدمات دکتر رسا ابراهیمی سرخابی:
- عصب کشی و ترمیم دندان پوسیده
- جراحی لثه و کشیدان دندان عقل
- لمینت و کامپوزیت
- درمان آبسه و عفونت دندان
آدرس دکتر رسا ابراهیمی سرخابی: فرشته، خیابان مقدس اردبیلی، بین کیهان و پسیان، ساختمان اکیاس، پلاک 31
لوکیشن مطب دکتر رسا ابراهیمی سرخابی روی گوگل مپ
شماره تماس دکتر رسا ابراهیمی سرخابی:
0212241410
هزینه انجام لمینت چقدر است؟
ویژگیهای دکتر لمینت شامل دانش کافی، مهارت، سرعت، دقت، داشتن گواهینامه و مدرک تخصص لمینت، امکانات مدرن و سابقه طولانی میشود.
دندانپزشکان زیبایی خوب از پیشرفتهترین تجهیزات و دستگاههای دندانپزشکی استفاده میکند. سیستمهای تصویربرداری، دستگاههای تشخیص، دستگاه لیزر، ابزارهای مخصوص دندانپزشکی و … از مهمترین ملزومات کلینیک است.
محیط مطب باید پاسخگوی بیماران در طول روز بوده و تمیز و بهداشتی باشد. همچنین باید برای همه بیماران قابل دسترس بوده و کلیه امکانات رفاهی و درمانی در مجموعه فراهم باشد.








